I Patologi Rivelano Risultati Sorprendenti Delle Indagini su Dieci Decessi Legati ai Vaccini Covid-19
Alle volte ci domandiamo se siamo alla dirittura di arrivo o all’inizio di una tragedia che pare non avere mai fine.

Prima o poi è inevitabile che la gente verrà a conoscenza di essere stata vittima di un grande inganno, rimane la questione su come reagiscono di fonte a questa presa di coscienza.
La consapevolezza delle masse avverrà su due linee ben definite, la prima attraverso un cambio di opinione mediatico da parte di chi ha supportato il sistema fino al momento in cui ha fatto loro comodo, ed il secondo di fronte all’evidenza dei fatti che vede la discrepanza tra ciò che la scienza marcia ha promesso e ciò che oggettivamente è stato l’esito letale finale.
La palla diventata ovale passerà successivamente alla politica, alla finanza speculativa, allo Spread, alla crisi economica, alla disoccupazione, la fame, la guerra ed alla rivolta sociale perenne ……….in definitiva il virus e’ stato solamente un toccasana indigesto nell’attesa di ciò che è stato pianificando da tempo…….
Si salvi chi può!
Toba60
I Patologi Rivelano Risultati Sorprendenti
Lunedì 20 settembre, due importanti patologi hanno tenuto una conferenza stampa in Germania per rivelare i loro risultati di un’indagine su dieci morti legate ai vaccini Covid-19, e ciò che hanno rivelato è scioccante.

La conferenza stampa ha avuto luogo presso l’Istituto di Patologia di Reutinglen, Germania, di cui il professor Arne Burkhardt è stato responsabile per oltre diciotto anni. Il professor Burkhardt ha tenuto la conferenza stampa insieme a un altro patologo esperto, il professor Walter Yang, che ha diretto un istituto privato specializzato in patologia polmonare negli ultimi 35 anni, tra gli altri incarichi.
In collaborazione con diversi altri patologi anonimi, il professor Arne Burkhardt e il professor Walter Yang hanno indagato su dieci decessi avvenuti dopo che la persona aveva ricevuto il vaccino Covid-19, e questo è ciò che hanno trovato…
Dei dieci decessi, i due professori hanno confermato ed hanno concluso che cinque erano molto probabilmente dovuti al vaccino Covid-19, due erano probabilmente legati al vaccino, uno era inconcludente, e due hanno concluso che non avevano alcuna relazione con il vaccino Covid-19.

Tuttavia, ciò che hanno trovato sorprendente, sono le somiglianze tra le morti che hanno concluso che erano legate alla vaccinazione.
In tre casi, hanno trovato rare malattie autoimmuni; una di loro così rara che l’hanno scoperta solo quando hanno guardato da vicino l’immagine digitalizzata.
Erano l’Hashimoto, un ipotiroidismo autoimmune; la vasculite leucoclastica, una reazione infiammatoria nei capillari che porta al sanguinamento della pelle; e la sindrome di Sjögren, un’infiammazione delle ghiandole salivari e lacrimali.
Anche se i decessi con sospette reazioni al vaccino sono lontani da un campione rappresentativo della popolazione, tre malattie autoimmuni su un totale di dieci è un tasso sorprendentemente alto.
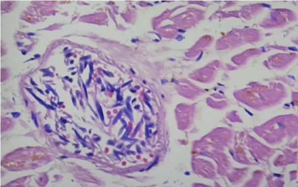
La scoperta più sorprendente, tuttavia, riguardava i linfociti.
“I linfociti stanno correndo all’impazzata in tutti gli organi”, ha detto il professor Lang.
Non solo ha mostrato accumuli di linfociti in un’ampia varietà di tessuti, dal muscolo cardiaco al rene, al fegato, alla milza e all’utero; ha anche mostrato immagini in cui il tessuto è stato massicciamente attaccato come risultato e tutta una serie di follicoli di linfociti, che sono piccoli linfonodi in via di sviluppo nel posto completamente sbagliato, per esempio nel tessuto polmonare.

Ha anche mostrato distacchi di cellule endoteliali che sono le cellule lisce che formano la parete dei vasi sanguigni – grumi di globuli rossi che alla fine causano trombosi e cellule giganti che si sono formate intorno a corpi estranei intrappolati.
Lang ha detto di non aver visto nulla di simile a questi ammassi di linfociti in centinaia di migliaia di studi patologici. Normalmente, altri globuli bianchi, i granulociti, si trovano nelle infiammazioni. In questi casi, tuttavia, questi non si trovano quasi mai e invece ci sono masse di linfociti.

Sono necessarie ulteriori indagini per determinare quale tipo di linfocita è coinvolto in questo processo e come esattamente viene innescato al fine di dimostrare una connessione impermeabile con la vaccinazione; tuttavia, gli esami istologici necessari per questo richiederebbero ancora almeno sei mesi.
Tuttavia, ha detto, i risultati disponibili finora sono abbastanza importanti per renderli noti in anticipo sotto forma di questa conferenza stampa.

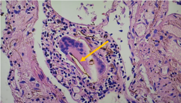
I due professori hanno anche rivelato immagini di corpi estranei non identificati che si sospetta siano contaminanti o adiuvanti nei vaccini Covid-19.


‘Ci stiamo perdendo il 90 percento’, ha detto del numero di reazioni fatali al vaccino. Non è colpa degli scienziati forensi e dei patologi, ha detto; dopotutto, puoi vedere solo ciò che sai e la medicina legale non può comunque fare esami istologici. Ma è urgente eseguire più autopsie su questi casi. Sfortunatamente, ha detto, questo è spesso ostacolato.

“Il nostro compito è quello di educare la gente sui rischi e gli effetti collaterali”, ha detto l’obiettivo del suo lavoro. Un compito che in realtà dovrebbe essere svolto da istituzioni come l’Istituto Paul Ehrlich nel caso di vaccini sperimentali con approvazione di emergenza.
Le scoperte degli esperti patologi da un’indagine su dieci morti dopo la vaccinazione con il Covid-19 arrivano dopo che un altro patologo, il professor Peter Schirmacer, direttore dell’istituto patologico dell’Università di Heidelberg in Germania, ha lanciato l’allarme sulle sue scoperte dopo oltre quaranta autopsie di persone che sono morte entro due settimane dopo aver avuto un vaccino Covid-19.
Schirmacher ha dichiarato che dal 30 al 40% delle persone che ha esaminato sono morte a causa del vaccino e che, a suo parere, la frequenza delle conseguenze fatali delle vaccinazioni è “sottostimata”.
In seguito alle sue scoperte, Schirmacher ha chiesto più autopsie di persone vaccinate per determinare ulteriormente se i vaccini sono collegati alle morti. Ha avvertito che l’alto numero di casi non segnalati di morti da vaccinazione è parzialmente dovuto al fatto che “i patologi non notano nulla della maggior parte dei pazienti che muoiono dopo e possibilmente da una vaccinazione”.
Fonte: Daily Expose
Abbiamo bisogno della vostra collaborazione ! Contiamo su di voi per un supporto economico necessario per finanziare i nostri rapporti investigativi. Se vi piace quello che facciamo, un abbonamento mensile è un riconoscimento a noi per tutto lo sforzo e l’impegno che ci mettiamo.

SOSTIENICI TRAMITE BONIFICO:
IBAN: IT19B0306967684510332613282
INTESTATO A: Marco Stella (Toba60)
SWIFT: BCITITMM
CAUSALE: DONAZIONE


